Osseointegration for limb-saving devices.

Helping surgeons save limbs and enhance lives.

Contact Us

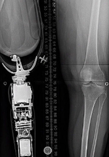
We support orthopedic surgeons in the most challenging limb-loss indications with unique expertise and advanced capability for producing osseointegrated, patient-matched devices.

Patient-Matched Implants

Our work begins with a consultation with the surgeon and CT scan modeling of the patient’s anatomy.

This is the basis for a design tailored to the patient and digital manufacturing.

See Our Process

Rapid Response Manufacturing

Time is critical when a patient’s way of life is on the line.

Additive manufacturing or 3D printing via electron beam melting enables rapid response.

Learn More

Leader in Osseointegration

Advanced osseointegration is designed into every implant. Our manufacturing process allows geometry and surface texture to be tuned to encourage bone growth for maximum fixation. We are osseointegration specialists.

Our Technology

About Us

Explore how ALM Ortho became a leader in patient-specific solutions.

News

Read the latest about our team and technology.

Lorem ipsum dolor sit amet, consectetur adipiscing elit. Aliquam a convallis felis, ac fringilla orci.

- Dr. John Doe

Aliquam a convallis felis, ac fringilla orci. Lorem ipsum dolor sit amet, consectetur adipiscing elit. A convallis felis.

- Mary Smith